腹壁破溃流脓,竟是肝脏"穿孔"?我院肝胆胰外科成功为高危患者实施左半肝切除术
点击蓝字关注我们
腹壁破溃流脓
病根竟在肝脏?

半个月前,一位老年女性患者因上腹部不适前来就诊,短短一周内,她的腹壁皮肤竟出现了破溃,并有脓液流出。
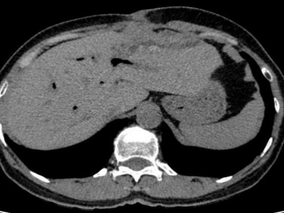
结果检查一看:患者肝内胆管存在多发结石并伴有胆管扩张。由于结石长期在体内“作祟”,引发了局部组织的严重炎症和破溃,最终导致肝脏穿孔,并与腹壁形成了一条异常的“窦道”(瘘管)。这条通道使得肝脏内的感染物直接穿出腹壁,造成了腹壁流脓的危重局面。


棘手的是,患者既往有多次腹部大手术史,腹腔解剖结构早已发生改变,加之合并2型糖尿病,术前营养状况极差。而且局部病变性质不明,高度怀疑存在恶变可能。

面对这样一个集“多次手术史、复杂感染、基础病多、营养状态差”于一身的高危病例,执行院长张继红教授迅速启动多学科诊疗模式。经过肝胆胰外科、胃肠外科、消化内科、影像科、麻醉科及重症医学科等多学科专家的反复论证与综合评估,团队一致认为:唯有手术切除病变肝脏,才能既清除结石、控制感染,又能明确病理排除恶性肿瘤。最终,团队敲定核心手术方案——左半肝切除术。
左半肝切除术本身就是肝胆外科领域的高难度微创手术之一。肝脏是人体重要的代谢器官,血管、胆管分布密集,手术需精准避开重要血管和组织,稍有不慎就可能引发大出血、胆漏等严重并发症,对手术医生的技术水平和团队协作能力要求极高。
术中探查的情况,精准印证了术前的严峻预判:患者腹腔内的大网膜、肠管与腹壁之间、肠管与肠管之间,形成了广泛而致密的粘连,原本清晰的解剖结构已完全移位,就像一团“乱麻”,给手术操作带来了极大阻碍。
张继红教授带领手术团队沉着应对、精准操作,小心翼翼地层层分离粘连组织,逐步梳理紊乱的解剖结构,最终发现肝左叶与腹壁之间形成了约1cm宽的致密瘘管,管内可见少量白色分泌物,正是这处“漏点”导致患者腹壁反复流脓。在精准保护周围肠管、重要血管不受损伤的前提下,团队成功切除病变的左半肝,彻底清除病灶。

术后解剖离体肝脏标本发现,患者肝内胆管扩张明显,内有多发褐色结石,最大直径达1×1cm,这些结石长期反复刺激胆管壁,正是引发肝脏穿孔、腹壁流脓的根本原因。
术后,肝胆胰外科医护团队为患者制定了加速康复外科方案。通过精细化血糖管理、个体化营养支持、抗感染治疗及精心护理,患者平稳度过了感染关、营养关和愈合关。腹壁的瘘管随着病灶的切除也自然愈合,未再出现流脓。患者及家属特意送来锦旗,表达对全体医护人员的感激之情。

此例高难度左半肝切除术的成功实施,不仅充分展现了我院肝胆胰外科团队在处理复杂肝内胆管结石、多次腹部手术史及严重腹腔粘连病例时的高超医术和丰富经验,更彰显了我院多学科协作的综合救治能力。
专家提醒
肝内胆管结石虽为常见病,但若长期忽视,不仅可能引起反复胆管炎、肝脓肿,严重者甚至导致肝脏萎缩、穿孔,并存在癌变风险。如有上腹部不适、反复发热、黄疸等症状,尤其是既往有胆道手术史的患者,请务必定期复查,早诊早治!
执行院长
腹部医学中心主任
医学博士、主任医师、硕士研究生导师。硕士毕业于第三军医大学全军肝胆胰中心,师从韩本立教授、杨可桢副教授;博士就读于中山大学附属第一医院,师从黄洁夫教授与梁力建教授;并曾赴香港大学玛丽医院肝胆胰外科访问学习,受教于国际著名专家范上达教授。
历任广州市第一人民医院肝胆外科主任医师、广东药科大学附属第一医院肝胆外科学科带头人,后于中山大学附属第一医院担任肝胆胰外科主任医师、东院肝胆外科主任及外科副主任。
科研方面,主持和参与省市课题5项,发表学术论文50余篇,曾获省部级科技进步二等奖、三等奖各1项。兼任《中华实验外科杂志》特邀编委、《实用医学》等期刊审稿专家,并担任广东省健康管理学会肝胆病专业委员会常委、广东省肝脏病学会相关专业委员会常委、广州市医学会医疗事故技术鉴定委员会专家等职务。
擅长:
肝胆胰脾外科疾病和复杂腹部外科疾病的诊治,尤其精于左、右半肝切除、左、右肝三叶切除、肝门部胆管癌根治术、胰十二指肠切除术、胰体尾切除、脾切除与门奇静脉断流术、复杂胆肠吻合术等各种肝胆胰脾外科开腹手术和腹腔镜手术,在处理胆道损伤、复杂肝胆管结石、梗阻性黄疸、慢性胰腺炎并胰管结石、胰瘘、胆瘘、肠瘘等复杂腹部外科疾病方面具有独到见解。
肝胆胰外科学科带头人
结石中心主任
医学博士、主任医师、硕士研究生导师。曾任解放军广州军区武汉总医院普通外科副主任,扬州大学苏北人民医院外科副主任,广州医科大学附属第一医院微创外科中心普通外科主任。现为国际肝胆胰协会中国分会委员,广东省中西医结合普通外科专委会副主任委员。曾任广东省医学会、医师协会、行业协会微创外科分会常委。广东省医疗事故鉴定专家,医保专家。
擅长:
对肝胆结石、肝胆胃肠良恶性疾病治疗造诣较深,达到全国先进水平。
发表各类学术文章70余篇。其中多篇论文是在陈孝平院士亲自指导下完成的,并作为陈孝平院士团队研究成果的重要部分,获得了国家科学技术进步奖二等奖和中华医学科技奖一等奖。
因在国内外首创经皮经肝硬质胆道镜下切开成形术,成功治疗胆肠吻合口狭窄,取净肝内胆管结石,使中国胆道镜微创技术达到了世界先进水平,万千肝胆结石胆道狭窄胆肠吻合口狭窄病人治疗效果得到明显改善。并成功举办了21期全国《硬质胆道镜临床应用高级培训班》,受训专业外科医生过千人,出版了世界上第一部专著《硬质胆道镜微创技术》,极大推动了我国胆道镜微创技术的进步。
肝胆胰外科特聘专家
主任医师
博士、教授、主任医师、博士生导师。从医40年,于中山大学附属第二医院-孙逸仙纪念医院从事医教研工作。
2015年度岭南名医
2016年度“羊城好医生”
2018年度胡润·平安中国好医生
擅长:
肝、胆、胰外科疾病诊治;成功实施精准肝癌切除术3000例以上。胰腺whipple手术连续254例零胰漏发生(总例数1000例以上)。可以不输血情况下成功完成胰腺十二指肠切除术(独创陈涛氏胰腺空肠吻合法),成功完成肝门部胆管癌1000手术。优良率98%。
肝、肾、胰腺移植技术。2000年以后任现职以来,有200余例肝移植经验,2001年在中山大学第二附属医院首次倡导及独立开展原位肝移植,年完成例数超过100例,手术成功率100%。一年生存率80%。年龄最大70岁,同时熟练掌握胰腺移植、肾移植手术。
掌握精湛血管外科技术。2006年任现职以来,一直承担腹主动脉瘤、髂动脉瘤人工血管置换高难复杂手术。自2018年以来,协助本院心血管外科工作,主导了腹主动脉瘤的人工血管置换术。使本院血管外科蓬勃发展走上良性发展道路。完成近百余例开放腹主动脉瘤人工血管置换术,技术上有三大创新。
广东省首创大肠癌肝转移治疗MDT模式。担任广东省医师协会肝胆分会转移性肝癌组长,2016年开始倡导组织创建了本院转移性肝癌MDT组织(肝胆外科、消化科、放射科、病理科、肿瘤科等组成),定期为病人提供MDT会诊,开展500余次。
胃肠外科(胃、肠疾病外科)、甲状腺、乳腺外科各种疑难疾病外科诊治;精通普外科实体瘤新辅助化疗、转化、姑息以及辅助化疗,为癌症病人提供全程治疗;擅长乙肝抗病毒治疗全程管理。
1、关注“东莞台心医院”服务号;
2、选择下方菜单栏“咨询挂号”——“预约挂号”;
3、选择“预约挂号”——点击“外科中心”——“肝胆胰外科”






